IMPLANTES DENTALES - Todo sobre ellos - ACTUALIZADO 2024
En este artículo respondemos las preguntas más comunes sobre los implantes dentales actualizadas al año 2023:
1) ¿Qué es un implante dental?
2) ¿Es dolorosa la cirugía de implantes dentales?
3) ¿Duele la colocación del implante dental?
4) ¿Cómo se une el implante dental al hueso?
5) ¿Cuánto tiempo dura un implante dental?
6) ¿Qué tipos de rehabilitación o reconstrucción bucal con implantes dentales existen?
7) ¿Cuál es el mejor implante dental?
8) ¿Es mejor un implante dental o un puente dental?
9) Fracasó o se cayó el implante dental, y ahora?
10) ¿Se puede sacar un diente y colocar un implante dental en la misma cirugía?
11) ¿Un implante dental se puede romper o quebrar?
12) Se mueve el implante dental ¿Por qué?
13) ¿Qué adelantos o novedades hay en los implantes dentales 2024?
14) ¿Cuál es el valor, precio o costo de un implante dental 2024?
1) ¿Qué es un implante dental?




El implante dental es utilizado cuando se produjo la perdida de una o varias piezas dentarias. En simples palabras es una raíz artificial.
Este implante esta constituido de un metal denominado Titanio (hoy día se están empezando a utilizar implantes dentales de un material denominado circonio o zirconio), posee forma similar a la raíz del diente y se coloca en el hueso del maxilar con una pequeña intervención quirúrgica.
Luego se espera un periodo de tiempo que puede variar de 40 días a 6 meses, dependiendo del tipo de implante dental colocado y del tipo de hueso donde se insertó. Este periodo de tiempo es necesario para que el implante se pueda unir al hueso, esta íntima unión entre hueso e implante dental se denomina oseointegración. Durante esta etapa el implante dental no tiene función alguna, teniendo el paciente que utilizar una prótesis provisoria.
Terminada esta espera, se le coloca la prótesis definitiva sobre el implante dental, es decir se "carga" el implante.
Hoy en día también existen implantes dentales (dependiendo del diagnostico previo) que no necesitan este tiempo de espera, en pocas palabras la prótesis definitiva se le coloca en el instante que se inserta el implante en el hueso, este procedimiento se denomina Carga Inmediata.
Los implantes dentales sirven para remplazar un solo diente, varios de ellos o también como soporte y retención de prótesis totales removibles, mejorando en este último caso (principalmente en prótesis totales inferiores) la retención y comodidad para el paciente.
2) ¿Es dolorosa la cirugía de implantes dentales?
La colocación de un implante dental se realiza a través de un cirugía bucal y a continuación daremos una explicación simplificada y sencilla de como es esta cirugía.
El implante dental se coloca dentro del hueso de los maxilares. Para acceder habitualmente a este hueso, se necesita levantar levemente la encía que cubre al hueso (existen otras técnicas que no despegan la encía, solamente la perforan pero se uso es limitado). A esta encía levantada se la denomina colgajo. Una vez despegada la encía sobre el tejido óseo, se procede a realizar la perforación del hueso con un instrumental rotatorio donde va a ir alojado el implante dental.
Una vez realizada esta perforación del mismo tamaño que el implante a colocar, se introduce en ella el implante dental. El orificio del hueso ya quedó ocupado con el implante y luego es necesario cerrar sobre el implante y el hueso la encía levantada con unos puntos de sutura. Listo, el implante esta colocado.
![]() |
Pasos de la colocación de un implante dental |
Esta simple descripción de una cirugía para la colocación de un implante dental, es la que se realiza en el 90% de los casos y lleva alrededor de una hora realizarla. A continuación, te mostramos un video de una secuencia completa en la realización de un implante dental en forma unitaria
3) ¿Duele la colocación del implante dental?
Si está correctamente anestesiada la zona a trabajar no hay dolor alguno cuando se coloca el implante dental, solamente el paciente siente que se está trabajando por vibraciones y movimientos, pero no por dolor.
La anestesia que se utiliza para este tipo de cirugías, es la misma que se usa para anestesiar un diente y realizar su extracción.
La anestesia es local, es decir que se anestesia la zona en donde se va a colocar el implante dental y se realiza a través de una jeringa y aguja, como en cualquier procedimiento en donde se utilice anestesia en el dentista.
No hay nada novedoso o diferente en la anestesia para implantes dentales que usted no conozca.
Luego de terminada la cirugía y el implante dental esta colocado, el odontólogo recetará si fuera necesario medicamentos para controlar el dolor o posibles infecciones después de la cirugía. Dentro de estos medicamentos podemos encontrar analgésicos/antiinflamatorios, antibióticos o corticoides.
Dependiendo el tipo de cirugía, la cantidad de implantes dentales colocados y el estado de salud del paciente depende la elección de estos medicamentos.
En el 90% de los casos las molestias pos-operatorias de las cirugías de los implantes dentales son mínimas utilizando los medicamentos correctos.
Hay cirugías de implantes dentales en donde son colocados gran cantidad de estos en una misma cirugía. También existen cirugías en donde es necesario realizar grandes reconstrucciones o rellenos de hueso o tejidos blandos como encía. En esto casos el pos-operatorio es más molesto debido a la extensión de la zona tratada y el "manoseo" de esta.
Las cirugías complejas y extensas tienen un pos-operatorio más "ruidoso". Pero estos casos son en un porcentaje mucho menor.
4) ¿Cómo se une el implante dental al hueso?
El proceso de unión o fijación de un implante dental al hueso se podría dividir en dos etapas:
En el mismo instante que se coloca el implante dental.
De 2 a 6 meses después que se coloca el implante dental.
1. Cuando se realiza la cirugía en donde se coloca el implante dental, el dentista busca lograr que el implante dental posea "anclaje o fijación inicial" en el hueso. Este anclaje es fundamental para que el implante quede fijo inicialmente y permita la unión o fijación posterior y definitiva.
Por este motivo el diseño de los implante dentales son similares a un "tornillo" (hace muchos años algunos implantes eran lisos, pero se han dejado de utilizar) con espiras. Este diseño varía en cada marca o línea de implantes.
![]() |
Implantes actuales con espiras |
2. Luego de colocado el tornillo con su "anclaje o fijación inicial" adecuada, se espera de 2 a 6 meses para que el implante dental y el hueso que lo rodea se "oseointegren".
La oseointegración es una unión biológica que se produce entre el implante dental y el hueso del paciente. Esta unión biológica se produce gracias a que el implante esta construido en un material "biocompatible", es decir que el organismo lo reconocer como "amigo" y se une a el. El material con que están construidos los implantes dentales es el titanio (hoy día se están empezando a usar implantes realizados en circonio).
La oseointegración es un procesos biológico muy complejo de explicar en simples palabras, por eso lo resumiremos comparando su similitud con la "soldadura" que se produce entre los huesos luego de una fractura.
"El implante dental se une al hueso mediante la oseointegración"
![]() |
Oseointegración de un implante dental con el hueso |
Para acelerar la oseointegración (hace algunos años se debía esperar como mínimo 6 meses para lograrla), los investigadores han utilizado en los últimos años lo que se denomina "tratamiento de superficie" de los implantes dentales. Este tratamiento se realiza por procesos químicos y físicos sobre la superficie del titanio en el momento de su fabricación.
Gracias al "tratamiento de superficie" también se aumenta la superficie del implante dental oseointegrado al hueso mejorando su calidad.
![]() |
Tratamiento de la superficie de un implante dental |
¿Cómo y cuándo se puede perjudicar la oseointegración del implante dental?
En la primera etapa, que va desde la colocación de implante dental hasta lograr la oseointegración , puede afectar la oseointegración el traumatismo sobre el implante dental a través de la masticación, bruxismo, hábitos, prótesis removilbles (dentaduras), etc. Por eso es muy importante seguir los consejos del dentista para prevenir este problema. Existe una técnica que se denomina "carga inmediata del implante" en donde no hay tiempos de espera para la oseointegración.
Si la cirugía no fue realizada técnicamente en forma correcta por el dentista, también puede afectar la oseointegración y como en todo acto médico, el estado de salud del paciente es muy importante.
Dentro de los estados de salud del paciente contraindicados, podemos citar a las personas diabéticas no compensadas, en tratamientos contra el cáncer, en tratamientos con bisfosfonatos, inmunosuprimidos y grandes fumadores.
En la segunda etapa, que va desde la oseointegración hasta la sobrevida del implante dental, lo pueden afectar diferentes patologías: Problemas ocasionados por infecciones locales, traumatismos, bruxismo, prótesis mal diseñadas, etc
Conclusión:
En pocas palabras, el fracaso del implante dental es cuando no se produce o se pierde la oseointegración.
5) ¿Cuánto tiempo dura un implante dental?
"¿El implante dental dura toda la vida?" Es la primera pregunta que hacen los pacientes.
La colocación de un implante dental es puramente una técnica quirúrgica, es decir una cirugía local que introduce una elemento artificial en el hueso del paciente y se espera a que es hueso se oseointegre (suelde) al implante, como una fractura de hueso de cualquier parte de organismo.
El implante tiene dos momentos que podríamos llamar críticos: El tiempo de espera después de su colocación para que se oseointegre (suelde) al hueso y una segunda etapa, que es la durabilidad del implante en la cavidad bucal. En este artículo, vamos a descontar que el implante se oseointegro correctamente y nos vamos a referir específicamente a la segunda etapa.
El implante dental no es fabricado por el dentista o técnico dental, es solamente comprado al comerciante odontológico que vende una marca o línea de implantes determinada. Esta marca o línea de implantes puede ser de diferentes orígenes (nacionales o extranjeras), tiene formas propias o copiadas de otros implantes y cada línea tiene su filosofía de trabajo, bases científicas y recomendaciones.
El dentista que coloca el implante de diente, lo realiza bajo técnicas de cirugía que el cree conveniente para que ese implante tenga éxito (se oseointegre) y que cumpla con los estándares estéticos y funcionales, como también su permanencia en la cavidad bucal en el tiempo.
No siempre se puede lograr todos los parámetros o estándares funcionales o estéticos requeridos para cada situación y el no logro de estos estándares, a veces, juegan en contra de la durabilidad del implante en la boca del paciente, ejemplo de ello es una deficiente cantidad de hueso en donde el dentista debe colocar el implante dental, para poder insertar el implante allí, el odontólogo regenera hueso (hay muchas técnicas y materiales para este fín) en ese sitio. No siempre se puede regenerar el hueso necesario y esto juega en contra en la longevidad de ese implante.
Otro y uno de los parámetros más importantes a tener en cuenta para la durabilidad del implante, es el estado general de salud del paciente y sus hábitos:
- Pacientes diabéticos no controlados.
- Pacientes con tratamientos contra el cáncer.
- Pacientes inmunosuprimidos.
- Pacientes fumadores (tabaco) o adictó a determinadas drogas.
- Pacientes con enfermedad periodontal (piorrea) y hábitos de higiene dental deficientes.
- Pacientes bruxómanos (bruxismo) no controlados (estos pacientes pueden llegar a fracturar el implante dental mismo, inutilizándolo).
Demos un ejemplo de esto: si el implante dental fue colocado perfectamente por el mejor implantólogo dental del mundo y utilizo el implante que más éxito tiene en el mundo y todo fue perfecto, pero el paciente fuma 20 cigarrillos (tabaco) por día, ese implante posiblemente se pierde con el correr de los años.
¿Por qué?
Porque el implante dental, que es de titanio, y se encuentra rodeado por tejido vivo (hueso y encía) no esta sumergido (tapado) completamente y protegido. Una parte de este implante interacciona con la cavidad bucal, existiendo una unión muy sensible a tener problemas entre el implante, el hueso y la encía. El implante no va a tener caries, por que es de titanio, pero si puede (y en mayor medida que una pieza dental) tener problemas en la encía y hueso que lo rodea. Esto se denomina periimplantitis y es el principal factor de fracaso de un implante en el periodo posterior a la oseointegración.
La periimplantitis es casi la misma enfermedad que se denomina enfermedad periodontal (piorrea o periodontis) que afecta a los dientes.
"La enfermedad que sufre un implante dental se denomina: perimplantitis"
Todas las enfermedades, tratamientos, hábitos del la persona que puedan favorecer a esta enfermedad (como los enumerados anteriormente) son directamente proporcional a la durabilidad del implante en la cavidad bucal. Cada "factor de riesgo" de la perimplantitis, influye negativamente y potencian a la enfermedad. No es lo mismo alguien que fume 20 cigarrillos pero tiene una excelente higiene bucal a alguien que fume pero su higiene bucal es pésima.
La periimplantitis comienza como una mucositis (inflamación de la encía que rodea al implante, todavia no hay pérdida del hueso que rodea al implante, sería similar a una gingivitis en los dientes naturales) y si no es tratada avanza a una periimplantitis, en donde comienza a producirse la perdida de hueso que sostiene al implante.
Tanto la mucositis como la periimplantitis son ocasionada por la placa dental y potenciada por diferentes "factores de riesgo".
Como explicamos, la placa dental ocasiona la periimplantitis, por tal motivo, la supraestructura (emergente y corona dental que se coloca sobre el implante) sería también un factor de riesgo a esta enfermedad: si el emergente y corona dental no están bien realizados y su adaptación (sellado) con el implante no es buena las bacterias se alojan en esta "desadaptación" y sería imposible de eliminarlas con la higiene dental diaria. Por tal motivo, la calidad y terminación de la prótesis dental que va colocada sobre el implante, es fundamental para la durabilidad de este en el tiempo.
![]() |
Peri implantitis (infección implante dental) |
![]() |
Radiografía dental mostrando perdida de hueso por peri implantitis |
Prevención!
Correcta higiene bucal
Controles con el dentista
Eliminar factores de riesgo
¿Cómo se tratan las enfermedades de un implante dental?
El tratamiento de la mucositis y periimplantitis es eliminar la infección que se aloja sobre el implante. El tratamiento de la mucositis consistiría en mejorar la higiene y eliminar los posibles factores de riesgo.
El tratamiento de la periimplantitis no tiene muy buenos resultados, debido a que las bacterias se alojan en las hendiduras microscópicas de la superficie del implante dental y es muy difícil eliminarlas completamente. Para tal objetivo se realizan cirugías para poder limpiar mejor y colocar antibióticos sobre la superficie contaminada del implante dental. Hoy día, se esta empezando a utilizar laser y ozono para descontaminar dicha superficie con mejores resultados.
![]() |
Cirugía para eliminar infección y limpiar implante dental |
¡Por esto es muy importante la prevención bucodental!
Como explicamos, hay muchos parámetros que influyen positiva o negativamente en la durabilidad del implante dental en la cavidad bucal. El objetivo fue explicar que no es sencillo determinar el tiempo de durabilidad aproximado de un implante dental, pero para que se lleven un número, podríamos decir que un implante dental tiene una duración de alrededor de 15 años. Ojo! no es raro ver implantes de más años en excelente estado.
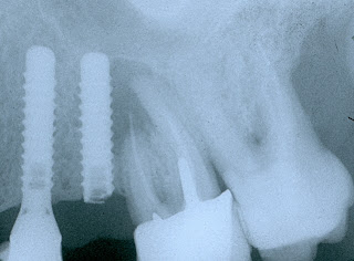
6) ¿Qué tipos de tratamientos o rehabilitación o reconstrucción bucal con implantes dentales existen?
Varias:
- De un implante dental por diente perdido. Es fija, va atornillada al implante.
![]() |
Implante remplazando a un solo diente |
- Puente dental (pueden ser de 3 o mas dientes). Es fija.
![]() |
Puente dental sobre implantes dentales |
![]() |
Puente de más piezas o férula sobre implantes dentales |
- Prótesis dental Híbrida (se realiza en bocas sin ningún diente, se colocan varios implantes y se realiza un prótesis completa dejando un espacio entre prótesis y encías para poder higienizar debajo de ella y se atornilla a los implantes. Es fija, solamente puede ser sacada por el odontólogo. Tiene limitaciones estéticas).
![]() |
Prótesis dental híbrida |
A continuación, te mostramos un video didáctico del proceso de realización de una prótesis dental híbrida:
- Barra o ball-attach (broches) sobre implantes dentales. Se realiza una barra o ball-attach que va atornillada a los implantes (macho) y una prótesis completa con una "contrabarra" en donde se aloja los aditamentos que va a ajustar sobre la barra o ball-attach(hembra). Es un prótesis completa "removible" pero retenida por los implantes dentales, el paciente la retira para higienizarse. Es el método más usado cuando no hay diente alguno. La prótesis completa o dentadura postíza se "abrocha" a los implantes dentales.
![]() |
Broches o ball-attachas sobre implantes dental y dentadura completa |
![]() |
1-Barra sobre implantes dentales 2-prótesis completa |
¿Cómo se realizan los tratamientos con implantes dentales?
La rehabilitación o tratamiento con implantes dentales consta de dos partes:
1) El implante dental en sí. Que se coloca en la cirugía.
![]() |
Implante dentañ-emergente-corona dental |
2) La parte protésica dental. Puede ser un emergente o pilar (este aditamento es una estructura que puede ser metálica o cerámica (zirconio, más estético que el de metal) que se une al implante mediante un tornillo, es el intermediario entre la corona y el implante dental. En el dibujo de la derecha es el de color dorado).y corona (puede ser coronas de porcelana sobre metal o de porcelana pura, más estéticas) que va sobre el emergente. Este tipo de rehabilitación protésica dental se utiliza en el caso de coronas individuales o puentes. En el caso de rehabilitaciones híbridas la parte protésica es una estructura de metal, porcelana o acrílico que se atornilla a los implantes y en el caso de la utilización de barra o ball- attach se dividen en dos: la barra o ball-attach atornillados en los implantes (fijos) y un parte removible que es la prótesis o dentadura completa.
Dependiendo la complejidad del caso, el tiempo total de trabajo puede ser de 3 meses a 1 año y medio aprox.
7) ¿Cuál es el mejor implante dental?
Esta es una de las dudas más grande de lo pacientes a la hora de realizar un implante de diente.
Tampoco es una pregunta sencilla de responder, pero haremos lo posible.
Existen 3 factores que influyen mayormente en la calidad final del implante dental o mejor dicho, del tratamiento bucal con implante dental:
- La calidad propia del implante dental y los materiales utilizados.
- La calidad profesional del odontólogo.
- La calidad del técnico dental.
1. La calidad propia del implante dental y los materiales utilizados.
No es lo mismo utilizar un implante dental de baja calidad a uno de alta calidad.
La realidad, es que hoy día, la mayoría de los implantes dentales son de una buena calidad.
Hay implantes que son más costosos que otros por ser de marcas conocidas mundialmente y que hace mucho tiempo están en el mercado y tienen un aval científico y una casuística más extensa. Pero no por eso son muy superiores a otros implantes de marcas más nuevas y de menor costo.
La realidad en el mercado, es que los implantes de menor costo "imitan" (se denominan "clones") a las primeras marcas. Por eso, si la empresa que los imita es seria y utiliza materiales de primera calidad y con buena terminación, no hay demasiada diferencia en la calidad.
En cuanto a los demás materiales, por ejemplo podemos nombrar rellenos óseos, membranas, etc. Con estos materiales pasa los mismo que con los implantes.
¿Pero cómo sabe el paciente si la calidad del implante dental es buena?
Este es uno de los problemas, pero hay ciertos recaudos:
Que el dentista nos dé el nombre del implante dental a utilizar antes de decidirnos para que podamos chequear, por lo menos en internet.
Que el dentista nos entregue un certificado (los implantes vienen con identificaciones para el dentista y otra para el paciente) del implante dental luego de la cirugía.
Buscar referencia con otro odontólogo de confianza.
El punto MÁS IMPORTANTE es la confianza frente al dentista. En esto se basa este y todos los tratamientos odontológicos.
2. La calidad profesional del odontólogo.
Como lo anterior, esto también es muy difícil de saberlo antes de empezar el tratamiento. Pasamos a nombrar algunos puntos que pueden ayudar un poco:
- Por estar conformes por otro tipo de tratamientos.
- Por recomendación de otros pacientes que se realizaron implantes dentales con ese profesional.
- Por capacitación en cursos de posgrado o especialidades.
- Por experiencia profesional.
Luego del éxito del implante dental en sí, debemos construir la "supraestrucutura"o parte protésica sobre el implante (acordarse que el implante dental cumple la función de una "raíz artificial").
En esta parte, no solo es importante la calidad profesional del odontólogo, sino la del técnico dental, quien va a realizar la construcción técnica de la parte protésica.
Averiguar si el técnico dental esta capacitado o no para realizar este tipo de prótesis es casi imposible de saberlo de antemano, depende casi exclusivamente de la confianza frente al dentista.
Conclusión
Si el implante dental utilizado es el más caro del mundo, pero el dentista no es muy bueno y la del técnico dental tampoco, la calidad final es mala.
Si el implante dental es de buena calidad, pero el odontólogo es excelente y el técnico dental también, la calidad final va a ser muy buena.
Por eso es importante la calidad en estos tres aspectos. No solo depende de unos solo, son los tres complementarios.
De estos 3 factores, la complejidad del tratamiento y el mantenimiento diario y controles por parte del paciente y del dentista, va a depender la durabilidad del implante dental.
8) ¿Es mejor un implante dental o un puente dental?
Expliquemos primero un poco cada uno:
El implante dental se realiza cuando se perdió por completo la pieza dental, es decir, que se extrajo la corona y la raíz del diente.
En estas circunstancia se realiza un pequeña cirugía y se coloca el implante que cumpliría la función de una "raíz artificial".
Sobre esta "raíz artificial", o sea, el implante dental, se realiza la "supraestructura" o lo que se denomina emergente (como si fuera el perno del diente) y la corona dental (puede ser de diferentes materiales: acrílico, porcelana, metal o resina). Abajo vemos los pasos en la colocación de un implante dental y la confección de la supraestructura.
![]() |
Implante dental terminado y su radiografía |
Ahora pasamos a explicar el puente dental en pocas palabras.
En el caso de perder una pieza dental, también por completo, incluyendo su parte coronaria y raíz, no se puede realizar con el lo que se denomina perno y corona dental. Para realizar el perno y corona, si o si, necesitamos una raíz para poder sujetarnos de ella.
Por tal motivo, para poder reponer el diente faltante, me debo de sostener de algún sitio. Este sitio, son los dientes vecinos a la zona donde fue extraída la pieza dental.
![]() |
Pasos en la realización de un puente dental |
Como muestra el gráfico de arriba, para realiza un puente dental (puede ser de diferentes materiales: acrílico, metálicos, porcelana o resinas) se debe "desgastar" las pieza vecinas para dar lugar a la estructura del puente. Realizado este desgaste, se toma una impresión (molde) de la boca del paciente y se envía al laboratorio que va a fabricar este puente (dependiendo el material o técnica utilizada se puede realizar en una sola sesión hasta 4 sesiones en el dentista). Una vez terminado y aprobado por el dentista, se cementa (pega) a los dientes desgastados vecinos.
![]() |
Puente dental |
Ventajas y desventajas de comparando implante dental y puente dental:
- Ventaja implante dental sobre el puente dental:
NO ES NECESARIO DESGASTAR LOS DIENTES VECINOS a la zona desdentada (sin diente). Si los dientes vecino están sanos, con el puente dental le estamos realizando un tratamiento que no necesitan y puede ocasionar problemas en ellos en un futuro.
No es necesario realizar 3 o más coronas para formar el puente. Se realiza una sola sobre el implante.
Si llega a producirse un problema sobre el implante o los dientes vecinos a el, estos se tratan en forma "individual". Cada uno es independiente al vecino, como dientes naturales.
Mejor higiene de la zona. En el puente las 3 coronas están unidas, en el implante, este se encuentra separado de los dientes vecinos.
- Ventaja del puente dental sobre el implante:
Si los dientes vecinos a la zona desdentada estan en malas condiciones, se soluciona tres problemas al mismo tiempo.
Es más sencillo lograr una mejor estética.
Como habrán visto, en determinados casos un tratamiento tiene ventajas sobre el otro.
9) Fracasó o se cayó el implante dental, y ahora?
Cuando una persona se realiza uno o varios implantes dentales, pone sobre ellos, una gran expectativa y la posibilidad de solucionar muchos de sus problemas dentales, estéticos y funcionales.
Tomar la decisión de realizar este tipo de tratamiento muchas veces tampoco es sencilla, debido a que se realiza mediante una cirugía (simple en la mayoría de los casos, pero cirugía al fin), por los costos monetarios que conlleva y por el tiempo invertido en obtener el resultado deseado.
Por tal motivo la expectativa por obtener el resultado buscado y solucionar el problema existente es muy alta y una de las creencias populares de los pacientes más arraigadas de la odontología es que un "implante dental es para todo la vida y no hay fracasos", pero, lamentablemente, no es así.
¿Y qué sucede si el implante dental falla y hay que retirarlo o quitarlo?
Los fracasos más habituales de los implantes dentales se producen semanas después de la colocación de este en el hueso. En este caso (las razones pueden ser varias y muchas veces no se puede identificar cual es la culpable), habitualmente, se puede volver a colocar un implante dental nuevamente en el lugar del que fracasó en la misma sesión que se retira el viejo implante o unas semanas después. Otras veces en estos casos, es necesario realizar un relleno óseo en la misma sesión de colocación del implante dental nuevo o previamente y esperar alrededor de 6 a 9 meses para volver a colocar un implante nuevo. En pocos casos, no se puede volver a colocar nuevamente un implante y se debe buscar otro tipo de tratamiento.
Cuando los implante entraron en funcionamiento, hay que concurrir a controles periódicos, aproximadamente cada 6 u 8 meses. Esto controles sirven para mantener lo implantes dentales en buen estado de salud y observar cambios en estos y posible fracasos. Antes son reconocidos estos problemas, mayor posibilidades de volver a colocar un nuevo implante dental en ese lugar.
Uno de los problemas de perder un implante dental, se debe a que muchos tratamientos de rehabilitación bucal cuentan con este implante en una combinación con otros, para devolver la función y estética completa bucal. Muchas veces en este tipo de tratamientos complejos, la perdida de un implante conlleva a retrasar todo el tratamiento (si el implante dental fracaso en las primeras semanas de colocado y se necesita volver a colocar uno nuevo) o perjudicar a la estética y/o funcionamiento correcto del resto de la rehabilitación bucal como su permanencia total en la cavidad bucal, si la rehabilitación bucal con implante y prótesis ya se encontraba en funcionamiento.
Habitualmente y si es posible, para evitar el retraso o fracaso de la rehabilitación bucal, se coloca un mayor número de implantes que los mínimos necesarios. Esto da mayor garantía de éxito de la rehabilitación, ya que si alguno de los implantes falla, puede ser compensado con los "sobrantes".
10) ¿Se puede sacar un diente y colocar un implante dental en la misma cirugía?
Si. Una de las tendencias en la colocación de implantes dentales es la de introducir el implante dental en la misma sesión en la que se realiza la extracción de la pieza dental, es decir todo en una misma cirugía.
Esta técnica recibe el nombre de "implante dental pos extracción"
¿Cuál es la ventaja o desventaja de realizar esta técnica en donde se extrae el diente y se coloca el implante dental en forma inmediata?
- Ventajas:
Los dos tratamientos, tanto la extracción de la pieza dental como la colocación del implante dental se hace en un solo acto quirúrgico.
Un solo pos operatorio para el paciente, ya que es solo una cirugía.
Los tiempos de tratamiento se acortan, ya que no se espera luego de realizar la extracción dental un tiempo prudencial para la recuperación de la zona tratada.
El hueso que rodea a la pieza dental se mantiene mejor, con menos riesgo de la perdida (reabsorción) de este, gracias a la inmediata colocación del implante dental. Esta es una de las ventajas fundamentales, ya que una cantidad y forma de hueso correcta facilita la alineación y estética correcta del implante dental. Cuando se realiza la extracción y luego la espera de algunos meses para la colocación del implante, el hueso que rodeaba a la pieza dental se empieza a perder limitando muchas veces la posición del implante o la necesidad de utilizar sustitutos óseos de relleno.
- Desventajas:
Es necesario que en la pieza dental a extraer no haya procesos infecciosos y si existiese, se tendría que eliminar completamente para que el implante no tenga riesgos. Muchas veces esto no es posible y por tal razón, es necesario extraer la raíz y esperar que el cuerpo resuelva la infección. Se suele esperar de 1 a 2 meses luego de la extracción para poder colocar el implante dental en forma segura.
La técnica de colocación del implante es más complicada, ya que al extraer el diente, quede una perforación en el hueso (alveolo) donde se alojaba este, dificultando la colocación correcta del implante dental y su anclaje.
El cierre de la herida para resguardar al implante es más complicada.
Usualmente es necesario utilizar rellenos óseo para rellenar espacios vacíos del alveolo dentario que no fueron ocupados por el implante dental.
![]() |
Extracción de una raíz y colocación de un implante dental en forma inmediata (foto perteneciente a www.nycdentist.com) |
11) ¿Un implante dental se puede romper o quebrar?
![]() |
Implante dental quebrado |
El implante dental es una estructura de titanio (hoy día se esta empezando a utilizar implantes de zirconio) que mediante un acto quirúrgico se introduce en el hueso de los maxilares. Luego de dicha colocación hay un "tiempo de espera" para dar lugar a la oseiontegración. La oseointegración no es otra cosa que la unión (soldadura, se podría decir) del implante con el hueso que lo rodea. Este hueso reconoce al titanio como un material amigo (biocompatible) y se une a el. El implante dental no se encuentra "atornillado" como un tornillo en la madera, se encuentra "pegado". Por eso, muchas veces, si es necesario retirarlo por alguna razón no es muy sencillo de hacerlo.
El implante dental en contraste con el diente natural, no posee lo que se denomina "ligamento periodontal". El ligamento periodontal une el diente natural al hueso. En diente natural no esta "pegado" al hueso, esta sostenido a el por este ligamento. Gracias a este ligamento se puede mover al diente a través de un tratamiento de ortodoncia corrigiendo su posición en la boca. En cambio, el implante dental, donde es ubicado en el momento de la cirugía y se logra esta "oseointegración" es inamovible.
El diente puede moverse en la boca para adaptarse a nuevas posiciones y fuerzas, en cambio el implante dental no. Por tal motivo es muy importante una buena orientación y colocación del implante dental en la cirugía: Mejor ubicación y posicionamiento, mejor pronóstico y durabilidad del implante en la boca.
Si el implante dental se encuentra bien ubicado y su utilización se encuentra dentro de los protocolos correctos de rehabilitación bucal, soporta mejor las "fuerzas bucales" tanto en la masticación como en los problemas de bruxismo (rechinamiento o apretamiento de dientes).
También, esta resistencia a las "fuerzas bucales" esta otorgada por la total inserción del implante dental en el hueso y el tamaño del implante: no tiene la misma resistencia a las fuerza un implante dental grande que uno más pequeño y no es lo mismo un implante que perdió el 50% del hueso por una perimplantitis que lo rodea, a uno que esta completamente unido al hueso.
Un implante dental es extremadamente raro que se rompa quiebre o fracture y menos con su uso normal al comer, salvo que la persona tenga hábitos muy extremos como utilizar sus dientes para abrir botellas o cosas similares (suena descabellado pero existe).
En donde existen más posibilidad de rotura del implante dental es durante la "parafunción", es decir por el bruxismo. El bruxismo genera una fuerza extremadamente superior que las fuerzas normales de la boca.
Si el implante es muy pequeño y perdió mucho porcentaje de su inserción en el hueso tiene muchas más posibilidades de romperse o quebrarse. Por eso es muy importante la prevención y el mantenimiento en salud del implante dental para impedir la perdida de inserción en el hueso.
A parte de la prevención de enfermedades que puede afectar al implante como la perimplantitis, es recomendable, si el paciente padece de bruxismo, un protector o guarda (también llamado férula en algunos países) bucal para proteger los dientes y el implante durante el bruxismo.
![]() |
Implante dental fracturado |
También existe la posibilidad (se produce en mayor porcentaje que la rotura de un implante, pero igual no es muy frecuente) que se rompa o quiebre el tornillo que une al emergente con el implante. La posibilidad de la rotura del tornillo aumenta también con el bruxismo y por una incorrecta adaptación del la parte protésica (emergente y corona dental) sobre el implante o coronas muy largas como también una presión incorrecta del tornillo favoreciendo el desajuste de este.
Tanto la rotura del implante dental como del tornillo, también esta influenciada por el diseño de estos por parte de las empresas comerciales que los fabrican, habiendo diseños más susceptible a fracturas que otros.
Por supuesto que la fractura del implante o el tornillo puede ser ocasionada por un traumatismo (golpe) accidental producido por deportes de contacto (se recomienda utilizar protectores bucales), accidentes autos, caídas, etc.
Tratamiento de roturas en un implante dental
En el caso de rotura del tornillo, hay que eliminar el tornillo roto o fracturado dentro del implante (esto muchas veces no es sencillo de realizar y en contadas veces no es posible retirarlo) y remplazarlo por uno nuevo, evaluando y modificando si fuera posible las causas de dicha rotura.
En el caso de que la fractura o rotura se produzca en el implante dental en si, no queda otro tratamiento que la eliminación o retiro del implante dental de la boca y la colocación si fuera posible, de un implante nuevo. En ocasiones, no es posible retirarlo y el implante se deja sumergido en el hueso, teniendo que realizar otro tipo de rehabilitación de esa zona sin poder color un nuevo implante en ese lugar.
12) Se mueve el implante dental ¿Por qué?
Hay que diferenciar básicamente dos posibilidades: Problemas con la parte "coronaria" (lo que se ve del diente por fuera de la encía) y el implante en si.
![]() |
Componentes de un implante dental |
El paciente, lo que percibe, es la movilidad de la parte "coronaria". No puede, habitualmente, diferenciar si es un problema de la corona o del implante en si.
Dentro de los posibles orígenes del aumento de la movilidad de la corona podemos encontrar:
Se aflojó el tornillo que une la corona con el implante. Esta, es una de las principales razones por las que se puede ver "mover un implante". En verdad, el implante no se mueve, solamente lo hace la corona (funda) y el emergente. Se soluciona ajustando nuevamente el tornillo al implante.
Se rompió el tornillo. Es un caso similar al anterior. No es común que suceda. Se soluciona cambiando el tornillo.
Se despego la corona dental. Se soluciona volviendo a cementar la corona.
Dentro de los posibles orígenes del aumento de la movilidad del implante podemos encontrar:
Perdida de la oseointegración (unión) del implante con el hueso. Esto puede suceder después de la cirugía de colocación del implante (es el periodo mas crítico) o luego de pasado el periodo de oseointegración sin ningún problema (por problemas de oclusión (mordida), traumatismos, perimplantitis (enfermedades de la encía que rodea al implante, etc). En este caso de movilidad del implante, no hay otra solución que la remoción de el y, si es posible, la colocación de uno nuevo.
13) ¿Qué adelantos o novedades hay en los implantes dentales?
Los avances y adelantos en implantes dentales o implantología oral, se producen día a día. Estos avances o adelantos se producen en diferentes campos: En la forma y constitución de los implantes, en el tratamiento de la superficie de los implantes, la técnicas de colocación, la regeneración de tejidos (hueso y encía), en la parte protésica, etc.
Muchas veces estos avances son imperceptibles a simple vista para los pacientes y difíciles de explicar. Pero vamos a tratar de dar una explicación lo más sencilla y entendible posible como caracteriza a este blog.
- Forma y constitución de los implantes dentales:
El diseño de los implantes dentales tiene reformas constantes. Esto no quiere decir que muchos de los diseños más "antiguos" sean obsoletos. Hoy día se siguen usando muchos de los primeros diseños (con alguna pequeña modificación) con excelentes resultados y muchas de las primeras marcas mundiales los siguen fabricando.
Habitualmente las fábricas de implantes tienen varios diseños de estos. Esto se debe a que algunos diseños de implantes son mejores para algunos casos que otros y también debido al gusto o experiencia de los odontólogos que los colocan.
Cada fábrica de implantes dentales va sacando nuevas innovaciones a partir de sus investigaciones y la de las Universidades.
Los últimos cambios y tendencias en diseño de implantes se realizó en la "plataforma" del implante. La plataforma es la zona donde se va a "unir" la parte protésica (ejem, el pilar o emergente y la corona) y de la que dependen muchos parámetros estéticos.
El objetivo de este cambio de la plataforma, llamada "Shifting" es buscar una mejor estabilidad del hueso que rodea al implante para evitar la reabsorción (pérdida) de este. A menos reabsorción del hueso que rodea al implante, más durabilidad del implante dental. Este cambio en la plataforma mejoraría y facilitaría el logro de la parte estética al logra una mayor espesor y estabilidad de la encía que la rodea.
![]() |
Implante con plataforma shifting y nuevo tipo de rosca |
Uno de los cambios constantes en el diseño es en la forma del cuerpo del implante como también en la "rosca". Estos cambios en el cuerpo del implante buscan una mayor facilidad en su colocación, un mejor anclaje en el hueso y cuando se encuentra en funcionamiento en la cavidad bucal, una mejor dispersión de las fuerzas que actúan sobre el.
Unos de los cambios más significativos, pero que todavía no ha producido un cambio importante, es en lo que concierne a la utilización de un material cerámico llamado zirconio en lugar de el titanio con el que se fabrica los implantes dentales actualmente. La ventaja de estos implantes dentales de zirconio sería en lograr más fácilmente una mejor estética y al no ser metálicos, no dispersarían metales en el organismo. La desventaja es que no es tan versátil para todos los casos como los de titanio.
![]() |
Implante dental de zirconio |
- Tratamiento de superficie del implante dental:
En los primeros implantes dentales la superficie del titanio era pulida, es decir lisa. Con el correr de los años se observó que al realizar una superficie "rugosa" la superficie de adhesión (oseointegración) del implante con el hueso aumentaba. También cambiando superficialmente la composición química del titanio se lograba una mejor oseointegración. Este tipo de cambios en la superficie también disminuyó el tiempo de espera de la oseotintegración del implante con el hueso pasando de 6 meses a 2 y 3 meses. Cada marca de implantes tiene su tipo de tratamiento de superficie. Algunas tiene su fórmula propia y otras son más universales.
Estos tratamientos de superficie ya se vienen utilizando desde hace algunos años, no produciéndose avances significativos en el último tiempo.
![]() |
Tratamiento de superficie de un implante dental |
- Parte protésica sobre el implante dental o supra-estructura:
La parte protésica de un implante dental corresponde a todo lo que se coloque sobre el implante dental (supraestructura) para su funcionamiento y estética en la cavidad bucal.
Los cambios más significativos en este concepto, es la sustitución del metal utilizado por materiales estéticos como el zirconio. Este cambio se evidencia mayormente en los pilares o emergentes, como también en las prótesis híbridas, pasando a ser en zirconio en lugar de titanio, cobalto-cromo u oro.
La única ventaja en cuanto al remplazo con zirconio es por cuestiones estéticas, ya que el zirconio es blanco.
Otros cambios se observan en las coronas dentales (fundas) de porcelana pura, sustituyendo al núcleo metálico debajo de la porcelana por uno cerámico (alúmina, zirconio, etc), logrando mayor estética.
![]() |
Diferencia entre pilares de zirconio (izquierda) y metálicos (derecha) |
![]() |
Diferencia coronas dentales de porcelana pura y ceramo metálicas |
Técnicas quirúrgicas en la colocación de implantes dentales y regeneración de hueso y encía: Explicar minuciosamente cada técnica quirúrgica para la colocación de implantes dentales y para regenerar hueso o tejidos blandos (encía) es muy difícil sin los conocimientos básicos. Por tal motivo nos vamos a referir solamente a los objetivos que se buscan estas técnicas quirúrgicas hoy día.
El objetivo de las primeras técnicas utilizadas para la colocación de los implantes dentales tenían como objetivo principal eso mismo, la pura colocación del implante y lograr el éxito en la oseointegración (unión implante y hueso), si quedaba bien estéticamente mejor, pero no era el objetivo principal. Había muchas limitaciones.
Con el correr de los años y con la continua investigación y experiencia de los profesionales, hoy día no solo se busca que el implante se oseointegre, sino que quede lo más parecido a un diente natural y su mantención en esas condiciones por mucho años en la cavidad bucal.
Hoy gracias a las técnicas de regeneración ósea se pueden colocar implantes dentales donde antes no se podía y buscar una estética mayor.
Dentro de las tendencias que se encuentra hoy día es la de la colocación (en lo posible) de implantes pos-extracción dental, es decir, en la misma sesión donde se saca el diente dañado se coloca el implante que lo remplazaría.
El objetivo de este método es impedir que el hueso que rodeaba a la raíz del diente natural se pierda al sacar la pieza dental, como también la constitución y forma de la encía que lo limitaba. Al colocar el implante inmediatamente después de la extracción dental el hueso y encía se mantendrían en su lugar y no se perderían.
También existen cirugías reconstructivas de tejido blando (encía) para logra un estética mayor en la encía que rodea al implante, logrando una mejor posición de esta y un mejor espesor, traduciéndose en una mejoría estética.
En cuanto a las técnica de regeneración ósea, cuyo objetivo es lograr un aumento en el volumen del hueso que rodearía al implante dental y así poder colocarlo en la zona de la cavidad bucal adecuada para una correcta función y estética, hay avances más que nada en los "rellenos óseos". Estos rellenos óseos se utilizan para formar una "estructura" en donde se formaría luego el propio hueso del paciente. La mejora o avance, esta relacionado con el aumento de la aceptación de este relleno por el propio organismo y en la aceleración del proceso de formación del hueso del paciente.
Últimas novedades sobre implantes dentales. Actualizado 2024.
Como en el resto de las actividades humanas, todo gira en rededor de la tecnología digital. La odontología no es ajena a esta tendencia.
La tecnología CADCAM se viene utilizando en odontología desde hace ya hace años, pero en los últimos diez, los avances fueron muy significativos: Desde tomar moldes con un scanner intraoral sin necesidad de los moldes habituales con alginato y silicona y la confección de los elementos de un implante dental diseñado digitalmente y conformado por impresoras y talladoras 3D.
14) ¿Cuál es el valor, precio o costo de un implante dental 2024?
Si te interesa saber cual es el precio de los tratamiento con implantes dentales, te invito a que visites el siguiente enlace en donde podrás orientarte un poco en los valores vigentes actuales del 2024.¿Cuál es el valor, precio o costo de un implante dental?
Enlace relacionado
Pecios y costos en tratamientos de odontologia
Pecios y costos en tratamientos de odontologia
Comentarios
Alejandro L. - Dental Spa
yo tengo varios implantes dentales y me encantan, ahora me voy a realizar dos mas