¿Qué es un absceso dental?
![]() |
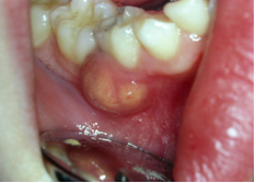
| Absceso por caries penetrante |
Un absceso dental es una acumulación de material purulento (pus) resultante de una infección de origen dental.
Este, produce destrucción del tejido óseo (hueso) que rodea a la raíz dental y puede producir una fístula.
El absceso puede ser crónico, es decir que se encuentra desde hace mucho tiempo en la cavidad bucal pero permanece inactivo, dormido, es decir que puede no dar sintomatología como el dolor.
La otra forma de un absceso es agudo, es decir que esta activo y puede dar la sintomatología que comentaremos más adelante.
Un absceso crónico se puede transformar en un agudo y un agudo en un crónico, pero esto no quiere decir que este curado.
El absceso puede ser crónico, es decir que se encuentra desde hace mucho tiempo en la cavidad bucal pero permanece inactivo, dormido, es decir que puede no dar sintomatología como el dolor.
La otra forma de un absceso es agudo, es decir que esta activo y puede dar la sintomatología que comentaremos más adelante.
Un absceso crónico se puede transformar en un agudo y un agudo en un crónico, pero esto no quiere decir que este curado.
La infección de origen dental puede ser ocasionada por una caries penetrante (penetra hasta la pulpa del diente infectándola), tratamiento de conductos fallidos o mal realizados, por un traumatismo (golpe) o restauraciones (resinas, amalgamas, etc) dentales muy amplias o profundas.
La sintomatología puede abarcar: Dolor, inflamación o hinchazón de la encía que rodea al diente y los tejidos faciales (cara hinchada), aumento movilidad dentaria, adenopatías (ganglios inflamados), fiebre, malestar general, dolor a la masticación.
Estos síntomas no siempre se producen todos juntos y si el absceso no se trata adecuadamente y rápidamente, puede llegar a comprometer la vida del paciente.
Tratamientos posibles para el absceso dental:
Para el tratamiento agudo de un absceso dental se utiliza antibióticos y antinflamatorios/analgésicos y muchas veces es necesario la apertura dental, el drenaje del absceso o la extracción de dicha pieza si fuera necesario.
Para el tratamiento agudo de un absceso dental se utiliza antibióticos y antinflamatorios/analgésicos y muchas veces es necesario la apertura dental, el drenaje del absceso o la extracción de dicha pieza si fuera necesario.
Para el tratamiento de la pieza dental en el caso de ser un tratamiento de conducto fallido, se realiza un retratamiento de conducto, apicectomía o extracción dental.
En el caso de una infección por una caries penetrantes, traumatismos o restauraciones amplias (siempre y cuando se pueda rehabilitar el diente con una restauración adecuada) se realiza un tratamiento de conducto y en el peor de los casos, cuando la destrucción del diente es muy grande o la infección muy grave, se realiza la extracción del diente.
Por este motivo te recomendamos que visites a tu dentista para un control periódico y así evitar estas complicaciones y si te está ocurriendo algún tipo de síntoma relacionado, no esperes y concurre con el odontólogo.
Enlace relacionado
Infección-antibiótico-diente
Si se despega el perno y la corona ¿Es culpa del tratamiento de conducto?
Me duele un diente ¿Qué hago?
Si quieres ayudarnos a seguir creciendo comparte este artículo en FACEBOOK o TWITTER!. Gracias!


Comentarios